生活応援キャンペーン実施中!

患者様ひとり一人に最適な治療プランと、
痛みに配慮した丁寧な治療をご提供します

まずは無料相談に
お越し下さい

最適な矯正治療のためにまずは患者様のご要望をお聞かせ下さい。
まずは無料相談で患者様の生活スタイルや治療期間・費用などあらゆる面の不明点や懸念点を
解消しましょう。お気軽にご相談下さい。

お電話の際は、
「インビザラインサイトを見た」
とお伝え下さい。
歯並びを治したい!

でもこんな気がかり
ありませんか?

  • 目立つワイヤー矯正は
    できるだけしたくない
  • しっかりとした矯正治療って
    値段が高くて手が出せない
  • 矯正後の後戻りが心配

そんなお悩みの方へ

当院で行う
マウスピース矯正
(インビザライン)なら

  • POINT

    01

    痛みが少なく
    目立たない!

  • POINT

    02

    人前に立つ機会が多い方、
    人生の大切なイベントを
    控えた方にも安心!

矯正治療完了後の
定期メンテナンス

時間をかけておこなった美しい歯並びを維持するために、
6ヶ月、12ヶ月、24ヶ月、36ヶ月の定期メンテナンスにご来院いただけます。

矯正歯科治療を行いながら、
一般歯科治療を総合的に行える

当院は、矯正歯科治療を行いながら、虫歯治療や
歯周病治療などの一般歯科治療を総合的に行えるため、
矯正中に起こりがちな虫歯のリスクや何度も通院する
煩わしさを軽減できます。

小児治療についても

お子様が大人になったときを見据えた治療を行っています。

歯の診察 子供の歯を見る大人
綺麗な歯のイメージ

正しい診査・診断を行うことで
患者様の10年後20年後の人生を
サポートする包括的なオーダーメイド
治療をご提供致します。

矯正治療を前提とした歯周病治療、マイクロエンド
(根幹治療)、インプラント、虫歯治療、セラミッ
ク治療予防、メンテナンスなど、患者様の口腔内を
矯正だけでなく総合的、包括的な診査・診断を行い、
トータルで最善の治療を最適なタイミングで行うこと
が可能です。

自分が受けたいと思う
治療をあなたへ

インビザラインは
矯正を踏み出せなかった方も
一歩踏み出せる
「痛みが少ない、目立たない」
歯科治療です。

はかたの森歯科こども歯科
院長

長 繁生

はかたの森歯科
こども歯科
公式サイト
院長のお写真

従来の矯正方法と比べて痛みが少なく、唇や口の中の粘膜などを
傷つけてしまう心配もありません。食事や大切な場面ではマウス
ピースを外していただけますので、矯正治療中であっても自由な
ライフスタイルを送っていただけます。
「人前に立つ機会の多い方」「多くの人と接する社会人の方」
「人生の大切なイベントを控えた方」でも目立たない安心感を
お届けする、それがインビザラインです。

インビザラインのイメージ
インビザラインでは難しい
他の医院で治療を断られた

そんな難しいケースでも
ご安心ください

多くのワイヤー矯正実績
のあるドクターが
あなたの気になる
歯並びをきれいに治します

インビザラインのイメージ2

歯並びの症状によっては、どうしてもマウスピース
矯正のみでは難しい症例があるのも事実です。

自分は、どうなんだろう?
自分の歯並びの現状を聞きたいという方もお気軽にご相談ください。
当院では、まずはワイヤーで正位置に矯正し、インビザラインで
対応可能になったら、目立たない矯正へ乗り換えることも可能です。

生活応援キャンペーン実施中!今だけの特別価格通常価格税込8250円から特別価格税込6200円 生活応援キャンペーン実施中!今だけの特別価格通常価格税込8250円から特別価格税込6200円
美しい歯のイメージ
生活応援キャンペーン実施中!

患者様ひとり一人に最適な治療プランと、
痛みに配慮した丁寧な治療をご提供します

まずは無料相談に
お越し下さい

最適な矯正治療のためにまずは患者様のご要望をお聞かせ下さい。
まずは無料相談で患者様の生活スタイルや治療期間・費用などあらゆる面の不明点や懸念点を
解消しましょう。お気軽にご相談下さい。

お電話の際は、
「インビザラインサイトを見た」
とお伝え下さい。
施術室の写真
当院が選ばれる
5つの理由
01

全ての歯科治療が
当院で完結!

矯正治療だけでなく、虫歯や歯周病などの一般歯科から予防歯科まで幅広い歯科治療が当院だけで完結できます。
02

適正な
価格でのご案内

多くの方に良質な治療を受けていただけるよう、適正な価格でご提供しています。
03

女性ドクターが在籍で
安心

女性ドクターが在籍しているので、女性の方はもちろん、お子様も安心して治療を受けていただけます。
04

様々な治療方法の選択が
可能

患者様のお口の状態に応じて、様々な治療方法を選択していただけます。
05

確かな技術と多くの実績

歯列矯正で数多くの症例を経験し、矯正歯科治療はもちろん、矯正中に起こりがちな虫歯や歯周病などの一般歯科治療にも対応できる、総合的な技術を持って治療を行いますので、安心してお任せください。

3Dシミュレーション
でゴールを再現

  • スキャニングもスピーディー
  • 正確・精密な歯型を採取可能
  • 視覚的にイメージできる
  • 通常より10日早く治療が開始できる
  • 嘔吐反応がある方にも対応可能

あなたの歯並びにも適応可能か
簡単にできる
3Dシミュレーション実施中!

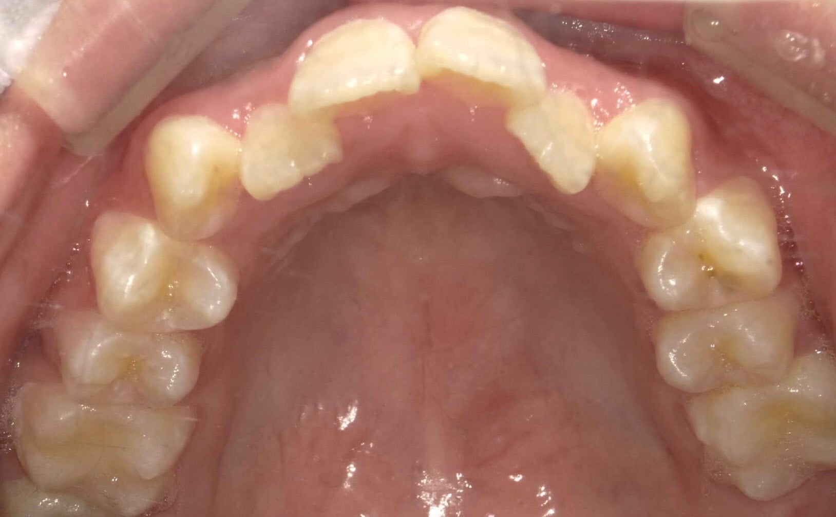
お悩み別症例

  • お悩み
    前歯のガタつきが気になる
    思いっきり笑えない
    年齢
    18歳/女性
    治療期間
    1年8ヶ月
    施術説明
    歯並びや噛み合わせの不全をアライナー型矯正装置を装着し、歯並びや噛み合わせを改善し適切な状態にする治療です。
    副作用
    装着したまま糖分の入った飲料を取ると、虫歯を発症しやすくなります。正しい装着方法で1日20時間以上使用しないと、目標とする治療結果を得れないことがあるため、きちんとした自己管理が必要になります。
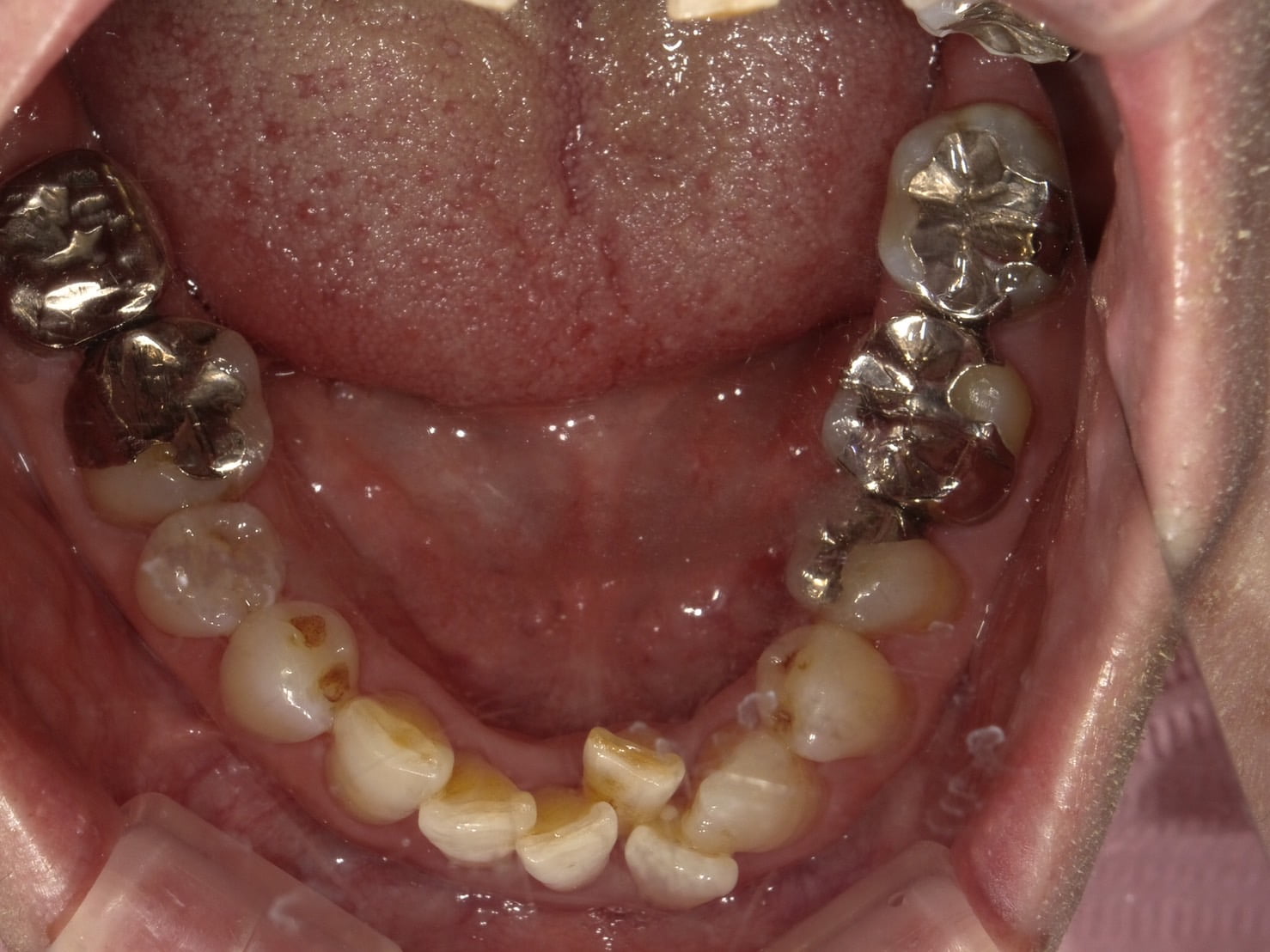
  • お悩み
    他院で矯正相談したら 抜歯しての矯正になると言われた
    年齢
    36歳/男性
    治療期間
    2年3ヶ月
    施術説明
    歯並びや噛み合わせの不全をアライナー型矯正装置を装着し、歯並びや噛み合わせを改善し適切な状態にする治療です。
    副作用
    装着したまま糖分の入った飲料を取ると、虫歯を発症しやすくなります。正しい装着方法で1日20時間以上使用しないと、目標とする治療結果を得れないことがあるため、きちんとした自己管理が必要になります。
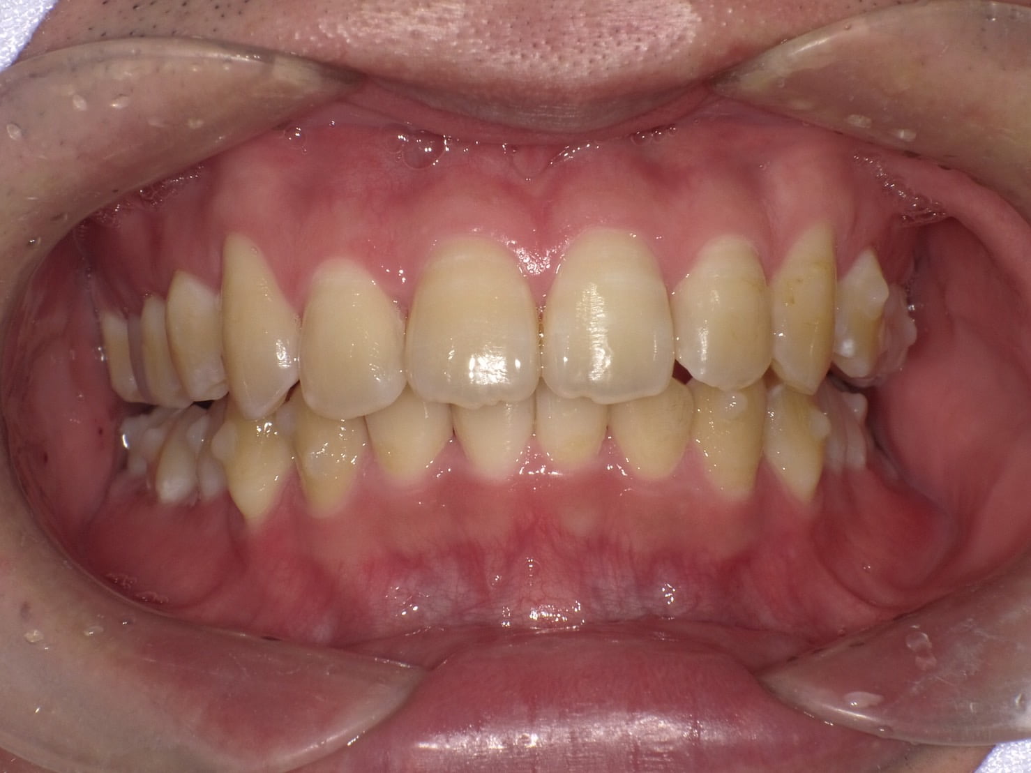
  • お悩み
    左にずれている
    将来入れ歯になりたくないため予防
    年齢
    52歳/女性
    治療期間
    2年
    施術説明
    歯並びや噛み合わせの不全をアライナー型矯正装置を装着し、歯並びや噛み合わせを改善し適切な状態にする治療です。
    副作用
    装着したまま糖分の入った飲料を取ると、虫歯を発症しやすくなります。正しい装着方法で1日20時間以上使用しないと、目標とする治療結果を得れないことがあるため、きちんとした自己管理が必要になります。
  • お悩み
    前歯のガタつきが気になる
    思いっきり笑えない
    年齢
    18歳/女性
    治療期間
    1年8ヶ月
    施術説明
    歯並びや噛み合わせの不全をアライナー型矯正装置を装着し、歯並びや噛み合わせを改善し適切な状態にする治療です。
    副作用
    装着したまま糖分の入った飲料を取ると、虫歯を発症しやすくなります。正しい装着方法で1日20時間以上使用しないと、目標とする治療結果を得れないことがあるため、きちんとした自己管理が必要になります。
  • お悩み
    他院で矯正相談したら
    抜歯しての矯正になると
    言われた
    年齢
    36歳/男性
    治療期間
    2年3ヶ月
    施術説明
    歯並びや噛み合わせの不全をアライナー型矯正装置を装着し、歯並びや噛み合わせを改善し適切な状態にする治療です。
    副作用
    装着したまま糖分の入った飲料を取ると、虫歯を発症しやすくなります。正しい装着方法で1日20時間以上使用しないと、目標とする治療結果を得れないことがあるため、きちんとした自己管理が必要になります。
  • お悩み
    左にずれている
    将来入れ歯になりたくない
    ため予防
    年齢
    52歳/女性
    治療期間
    2年
    施術説明
    歯並びや噛み合わせの不全をアライナー型矯正装置を装着し、歯並びや噛み合わせを改善し適切な状態にする治療です。
    副作用
    装着したまま糖分の入った飲料を取ると、虫歯を発症しやすくなります。正しい装着方法で1日20時間以上使用しないと、目標とする治療結果を得れないことがあるため、きちんとした自己管理が必要になります。

歯並びに合わせた治療プラン

生活応援キャンペーン実施中!

患者様ひとり一人に最適な治療プランと、痛みに配慮した丁寧な治療をご提供します

まずは無料相談に
お越し下さい

最適な矯正治療のためにまずは患者様のご要望をお聞かせ下さい。
まずは無料相談で患者様の生活スタイルや治療期間・費用などあらゆる面の不明点や懸念点を
解消しましょう。お気軽にご相談下さい。

お電話の際は、
「インビザラインサイトを見た」
とお伝え下さい。

治療の流れ

患者様のご要望に応えるためにまずは
無料カウンセリングからはじめます。
次に、口腔内が健康か、虫歯はないか、
歯周病は進んでないかといった個々の歯の健康状態を
CTを使って検査を行います。検査が終わると、期間や費用、
生活スタイルを考慮して患者様にとって最適な治療方法が何かを
ご相談の上実際の治療がはじまります。

  • 01お問い合わせ

  • 02無料相談

  • 03精密検査

  • 04シミュレーション

  • 05治療開始

よくある質問

  • Q

    インビザラインを装着したまま
    食事は大丈夫?

    食事の際には必ず外してください。虫歯のリスクや、マウスピースの破損、変形、着色を招いてしまいます。
    少し面倒に感じるかもしれませんが、食事の都度取り外してください。
    Q

    子供でもインビザラインは
    できるの?

    使用可能です。これまで主に永久歯が生え揃う時期の矯正治療(第2期治療)で使用していましたが、乳歯と永久歯が混在する時期の矯正治療(第1期治療)からの使用が可能になりました。
  • Q

    インビザラインは
    どうやって洗うの?

    基本的には手でこすりながら水で洗い流します。
    汚れが気になり、こすり洗いだけでは足りなく感じる時は、柔らかめの歯ブラシを使用しましょう。
    歯磨き粉はマウスピースの表面を傷つけてしまうことがあるため、使用をを控えるようにしてください。
    また、すすぐときには熱めのお湯を使用しないこと。熱いお湯ですすぐとマウスピースが変形したりしてしまうことがありますのでご注意してください。
    Q

    1日どのくらい装着すれば
    良いの?

    インビザラインは1日20時間の推奨された装着時間の目安があります。
    正しい矯正を行うためには自由に取り外しができる半面、自分自身で装着時間を守れないと治療の遅れや正しい結果が見られなくなる場合があります。